تازہ ترین

لڑکی کے مسوڑھوں پر پلکوں نما بال کیوں‌ نکلے؟

لڑکی-کے-مسوڑھوں-پر-پلکوں-نما-بال-کیوں‌-نکلے؟

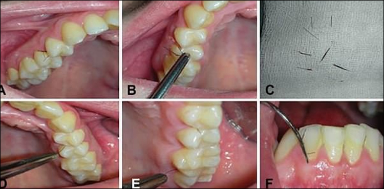
ناک کے نیچے یا چہرے پر بال اگنا تو آپ سنتے آئے ہوں گے مگر اب کی بار ایک ایسی لڑکی سامنے آئی جس کے مسوڑھوں پر بال نکل آئے۔ ڈیلی میل کی رپورٹ کے مطابق 25 سالہ خاتون کے مسوڑھوں پر پلکوں کی طرح کے بال نکل آئے، ڈاکٹرز کے مطابق لڑکی کے منہ میں بال نکلنے کی وجہ ہارمونز کی بیماری ہے۔ ڈاکٹرز کا کہنا ہے کہ یہ بیماری دنیا میں موجود لوگوں میں سے صرف پانچ کو ہی لاحق ہے، خاتون کو دس سال قبل یعنی صرف 15 برس کی عمر میں Polycystic ovary syndrome بیماری کی تشخیص ہوئی تھی۔ طبی ماہرین کے مطابق ہارمونز کی تبدیلی کی وجہ سے ہی مسوڑھوں پر گھنے بال اُگ آتے ہیں، لڑکی کے منہ میں اتنے بال صرف چھ سال کے عرصے میں اُگے ہیں۔ خاتون جب اسپتال پہنچیں تو ڈاکٹر انہیں دیکھ کر ششدر رہ گیا جس کے بعد دیگر ماہرین کو ملا کر ایک ٹیم تشکیل دی گئی جو اس بیماری کی وجہ اور علاج تشخیص کرنے کی کوشش کرے گی۔ ڈاکٹرز نے خاتون کے مسوڑھوں کا نمونہ لے کر اُسے لیبارٹری بھیج دیا ہے ، رپورٹ آنے کے بعد ہی اگلی پیشرفت ہوسکے گی۔

زیادہ پڑھی جانےوالی خبریں